総合 総合 sougou

  • 印刷
前へ
記事へ
次へ
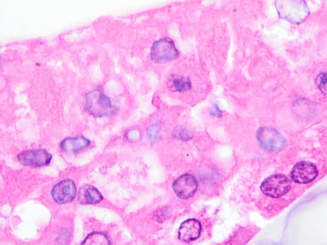
iPS細胞から作製したライディッヒ細胞(青井教授提供)
iPS細胞から作製したライディッヒ細胞(青井教授提供)
  • ヒトのライディッヒ細胞(青井教授提供)
  • iPS細胞から作製したライディッヒ細胞(青井教授提供)
  • 神戸大の青井貴之教授
総合の最新
 

天気(10月27日)

  • 23℃
  • ---℃
  • 10%

  • 20℃
  • ---℃
  • 50%

  • 23℃
  • ---℃
  • 10%

  • 23℃
  • ---℃
  • 20%

お知らせ