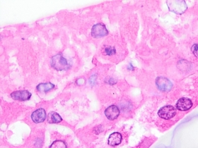
神戸大大学院医学研究科iPS細胞応用医学分野の青井貴之教授や石田貴樹研究員らの研究グループはこのほど、男性ホルモン(テストステロン)を産生する細胞をヒト人工多能性幹細胞(iPS細胞)から作製することに成功したと発表した。産生されたホルモンが正常に働いていることも初確認したという。ホルモンの機能低下で起こる男性更年期障害の治療に向け、「新たな一歩を踏み出せた」としている。
男性更年期障害の治療は現在、定期的に男性ホルモンを注射する治療が行われているが、3、4週間ごとに通院を続けなければならないなど課題も多い。
今回、研究グループは男性ホルモンを産生する精巣内の「ライディッヒ細胞」に着目。同細胞の働きが加齢によって悪くなるケースがあることから、元気な細胞を移植する治療を考えた。
同細胞は培養が難しいとされるが、グループはiPS細胞から作製することに成功。細胞が男性ホルモンを産生し、そのホルモンが機能していることも確かめた。一連の研究成果は、米科学誌「エンドクリノロジー」に掲載された。
研究グループによると、閉経という明確な節目がある女性に比べ、男性の更年期障害は認知度が低い。しかし、加齢により男性ホルモンが低下すると、抑うつ症状や性機能、筋肉量、骨密度などが下がり、日常生活に支障をきたす場合があるという。気力低下を訴えて精神科を受診する人もいるといい、潜在的に数十万人以上の患者がいるともされる。
青井教授は「将来的にはiPS細胞から作製したライディッヒ細胞を患者に移植することで、男性更年期障害に対する再生医療につなげたい」と話している。(霍見真一郎)
-
神戸

-
神戸

-
教育

-
地方行政

-

-
東播三田北播丹波

-
阪神

-
阪神

-

-
未来を変える

-
但馬

-
阪神

-
姫路

-

-

-
失われた事件記録

-
神戸社会連載まとめ読み

-
教育

-

-
ウクライナ侵攻

-
スポーツ神戸#インスタ

-
地方行政

-
山口組分裂騒動

-

-
教育神戸

-

-
新型コロナ

-

-
神戸教育

-

-
神戸社会連載まとめ読み

-
神戸三宮再整備スクープラボ

-
但馬

-
但馬

-
姫路地方行政

-
教育姫路

-
西播姫路文化

-
地方行政

-
但馬防災

-
神戸

-
地方行政神戸

-
地方行政

-
選挙

-
神戸

-
西播選挙

-
神戸山口組分裂騒動

-
神戸

-

-
文化

-

-
東播

-
神戸

-
スポーツサッカー

-
但馬

-
但馬

-

-
但馬

-
明石

-
阪神

-
神戸

-
姫路#インスタ

-

-
阪神

-
阪神

-
医療生老病支

-
選挙

-
選挙

-
神戸

-

-

-
神戸

-
姫路

-
姫路

-
医療

-
姫路医療

-
西播神戸

-
神戸

-
スポーツ阪神

-
姫路

-

-
社会連載まとめ読み

-
阪神

-
地方行政新型コロナ

-
神戸防災

-
神戸文化

-
医療

-
阪神

-
スポーツヴィッセル

-
阪神

-
神戸

-
神戸

-
神戸

-
神戸

-
神戸

-
神戸

-
教育

-

-
社会連載まとめ読み

-
姫路選挙

-
医療
















































































































