総合 総合 sougou

  • 印刷
前へ
記事へ
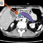
AIを使った膵臓の状態を調べたCT画像(富士フィルム提供)
AIを使った膵臓の状態を調べたCT画像(富士フィルム提供)
  • AIを使った膵臓の状態を調べたCT画像(富士フィルム提供)
  • AIを使った膵臓の状態を調べたCT画像(富士フィルム提供)
総合の最新
 

天気(10月27日)

  • 23℃
  • ---℃
  • 10%

  • 20℃
  • ---℃
  • 50%

  • 23℃
  • ---℃
  • 10%

  • 23℃
  • ---℃
  • 20%

お知らせ